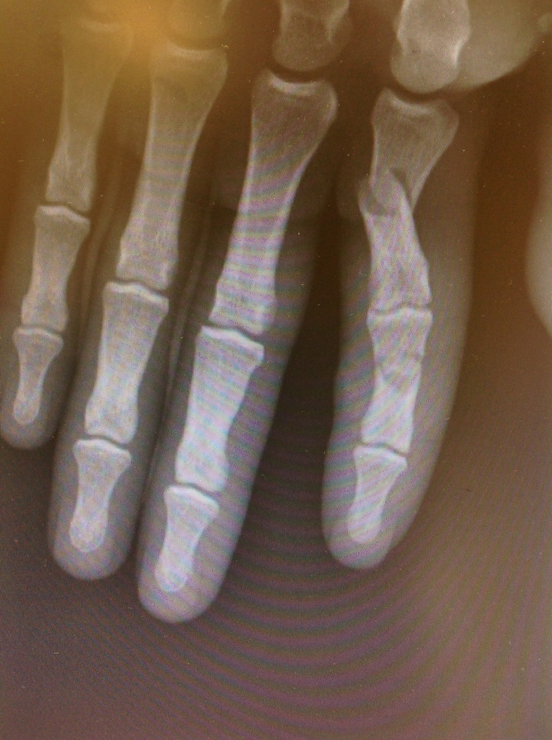
Paciente d 19 años que ingresó en nuestro centro afecto de Fractura de F2 del pulgar, fractura transversa de la F1 del índice, fractura conminuta de la F2 del índice con afectación del aparato extensor al mismo nivel.

Se procedió a síntesis anterógrada de la F1 con 2 agujas de Kirshner introducidas con la articulación metacarpofalángica en flexión máxima para no limitar la rehabilitación precoz.no coloqué placa de síntesis pues tengo comprobado que en la F1 las placas dan lugar a gran número de rigideces que obligan a su retarda y a tenolisis. En la F2 conminuta procedí a colocar placa con injerto de radio, en lidera rotación radial para facilitar la pinza término-terminal de un índice que por la lesión del aparato extensor asociada ya se preveía que tendría poca mobilidad de IFD. Se inició kinesiterapia activa autoasistida a los 3días postop.
Se retiraron las agujas tras consolidación de la F1.
Este es el estado actual a las 9 semanas postoperatorias.








